Produkt Vollkeramikkrone
Zirkon ist das einzige Material, das für 100% metallfreie, auch größere Brücken überhaupt geeignet ist. Das Material ist biologisch völlig neutral und ist sehr gut schleimhaut- und gewebeverträglich. Das Brücken- oder Kronengerüst besteht nicht aus Metall, sondern aus weißem Zirkonoxid, ob als Hitzeschild in der Raumfahrt, als Bremsscheibe in der Automobil-
industrie oder als künstliches Gelenk in der Medizintechnik, es ist ein extrem bruchsicheres Material.
Darauf modelliert das Labor die keramischen Verblendungen.
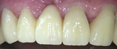
Die Zähne dieser völlig metallfreien Brücke sind vom natürlichen Gebiss praktisch nicht mehr zu unterscheiden. Mit Zirkonoxid (auch keramischer Stahl genannt) , ist heute auch die Herstellung großer Brücken möglich, für die bisher immer eine Metallarmierung nötig war. Vollkeramische Kronen und Brücken werden überwiegend im CAD/CAM-Verfahren, d.h. mittels eines 3D-Programms und der dazu passenden Hardware, hergestellt. (CAD = Computer Aided Design)
Falls sich schon eine metallische Zahnversorgungin Ihrem Mund befindet, so kann völlig bedenkenlos Zahnersatz aus Zirkonoxid
in weiterer Folge eingegliedert werden.
Es kommt bei diesem Medizinprodukt zu keiner Wechselwirkung mit anderen Substanzen
oder etwa Metallen.
Zirkonoxid leitet – anders als bei den meisten metallgetragenen Zahnversorgungen – kaum Wärme oder Kälte und auch keinen Strom!
Dieses Material eignet sich am besten für Zahnersatz bei Allergikern, da es zu keinerlei Unverträglichkeitsreaktionen kommen kann.
Vorteile von Zirkonoxydgerüsten:
Vollkeramik ist durch und durch körperverträglich.
Ihr Wohlbefinden wird nicht durch allergische oder unerwünschte Reaktionen, wie z. B. Metallgeschmack, beeinflusst.
Einzigartig wie Sie selbst, sind auch Farbe, Form und Oberflächenbeschaffenheit Ihrer Zähne.
Mit Vollkeramik entscheiden Sie sich für eine hochwertige Lösung, die sich optisch nicht von der natürlichen Zahnstruktur unterscheiden lässt.
Erst durch die der Natur nachempfundene Art der Brechung des auf den Zahn einfallenden Lichts wirkt ein Zahn natürlich und lebendig.
Gegenüber herkömmlichem Zahnersatz haben vollkeramische Restaurationen kein Metallgerüst das Ihren Zahnersatz unnatürlich opak
und wenig lebendig erscheinen lässt.
Im Gegensatz zu Metall, das die Wärme leitet, wirkt Keramik als guter Wärmeisolator.
Auch bei empfindlichen Zähnen sind also durch Warm-Kalt-Wechsel keine Irritationen zu erwarten.